
Today I worked 12.5 hours.
The first 5.5 in a covid vaccine clinic.
The second 7 hours in an urgent care.
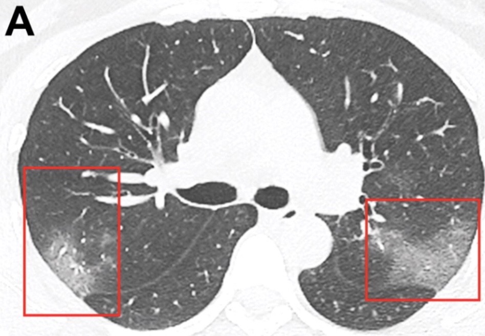
In the first half, I celebrated with patients who had reached this momentous day in their pandemic journey, a day when they get to hit back against Covid, make antibodies prophylactically. In the second, I picked up my stethoscope to listen to the lungs of a 40yo F with Covid-pneumonia.
I want you to know, dear reader, that when I urge you to get vaccinated, I am not a shill for big pharma. Bill Gates has never cut me a check. I’m not a sheep. And I’m not saying these things because it’s my job.
I’ve been up close and personal with this virus for over a year now. And now, I’ve seen these vaccines up close, too. Not only did I receive both doses of mine, but I’ve given them, I’ve monitored patients who’ve just received them, and I’ve offered education about them — over and over again. I’ve watched in awe as 1,000+ patients are vaccinated in a single day.
From my heart, I believe these vaccines are safe. From my heart, I am afraid of what covid can do to your body and of the many things we still don’t know or understand about this virus.
From my heart, I believe getting vaccinated is the best choice. For you, and for our world.














